移动床边摄影进入百微新时代 388vip太阳集团科技发布国内首台大尺寸百微移动X光机(DR)
发布时间:2022-06-09
伴随数字化X线摄影技术发展与进步,X线摄影检查在灵敏度、曝光宽容度以及影像清晰度等方面,都有巨大的进步。数字化X线摄影检查在临床具备广泛的应用价值,其中,移动DR由于其良好的移动性能,可满足床旁摄片。摄片流程简单、快捷、便利、安全,在临床上具有多种应用价值。包括如重症患者、重症新生儿患者以及术后不能搬动的患者,以及那些需要骨折牵引和老年体衰患者,通过移动DR的近床摄片都是最佳选择。当前的移动DR支持无线可视化曝光摄影,极大提升摄片效率同时能大幅减少X线辐射影响。
新冠疫情期间,由于部分重症患者及危重症患者的病情严重,可快速进展为急性呼吸窘迫综合征、脓毒症休克、心肌损害以及难以纠正的代谢性酸中毒和凝血功能障碍,甚至死亡。因而对重症与危重症患者,常常需要进行气管插管、体外膜肺氧合(ECMO)、血液净化等综合治疗。由于难以前往CT室进行检查,床旁移动DR检查便成了评估肺部病灶进展的最佳手段。不仅如此,移动DR成像速度快、辐射剂量小、操作简单、经济适用,是新冠疫情期间全球抗疫中的重要检查设备。

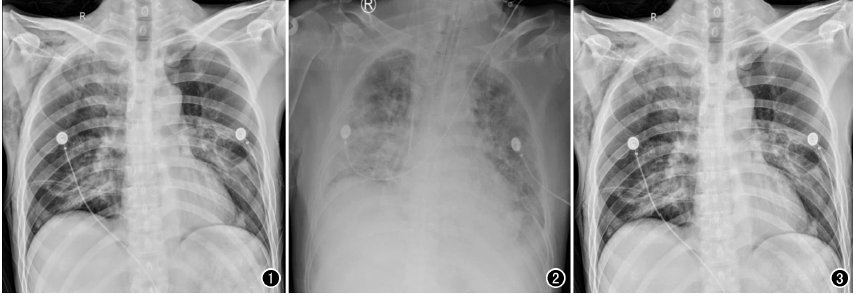
388vip太阳集团科技最新一代移动DR—飞燕Ⅱ,是国内首款大尺寸100微米超高清成像移动DR设备,具有1800万像素的超高分辨率,让床旁摄影的影像质量全面迈入高清时代。图像质量不仅远超当前市场上的移动DR设备,也远超过当前大部分固定DR设备的图像质量。

相较于普通DR的百万摄影像素,近2000万的高清像素,可以极大的提升床旁检查效率,包括骨科、新生儿科、心脏外科、重症监护科、急诊科等患者的快速检查。相较于目前市面上的低像素移动DR设备,100微米平板移动DR,在图像的分辨率、宽容度上都全面优于常规的130微米左右的移动DR设备。
以心脏手术为例,开胸心脏手术多数是在低温、全麻和体外循环下进行,胸腔创伤较大、风险极高,心脏术后,心外科医师为了能及时了解术后患者的双肺复张情况、气管插管导管头端位置以及手术并发症等情况,需要及时对患者进行胸部X线片检查,以便观察气管插管位置,一般来说,插管位置下端应位于第3胸椎水平,过深或者过浅都将影响呼吸机的辅助效果,应确保位置准确,以免影响通气状况。另外,包括对于相关手术并发症的检查,包括:胸腔积液、气胸、肺不张等常见问题,需要及时进行胸部X光检查。相较于几百万像素的移动DR,百微移动DR,在图像质量上显示更清晰,检查效率更高,更利于医生及时进行处置。
除了百微平板的极大优势之外,飞燕移动DR采用了无线曝光与可视化曝光摄影解决方案,支持SID智能识别与调控,减少了影像技师摆位摄片的时间,也减少了由于线缆可能对重症插管患者所带来的医疗事故风险。此外,传统不可视化曝光的操作特点,在如SARS、COVID-19此类病毒性感染场景中,由于病情发展变化较快,重症患者需每日摄片了解病情,病情轻者则隔日摄片工作量大,放射操作人员所接受的辐射剂量多。通过可视化曝光,减少了对患者及操作技师的辐射次数,检查耗时缩短,减少了技师与患者的接触时间,在对传染性疾病患者检查时,降低了医技工作人员的感染几率。